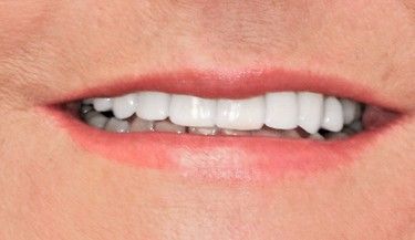
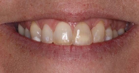
Dental Veneers Gallery
Contact Us
We encourage you to contact us with any questions or comments you may have. Please call our office or use the quick contact form below.
Contact Us
Thank you for contacting us.
We will get back to you as soon as possible.
We will get back to you as soon as possible.
Oops, there was an error sending your message.
Please try again later.
Please try again later.








